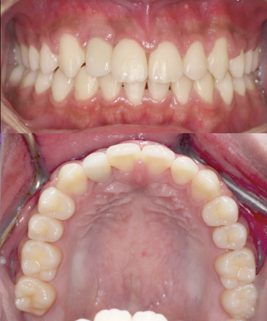
Before
After

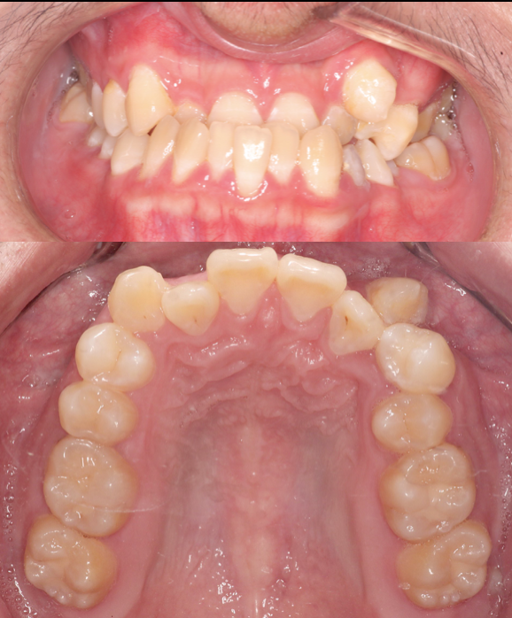
BRACES - IMPACTED CANINE

This patient presented with an impacted upper right canine. Through precise orthodontic treatment, the tooth was successfully guided into its correct occlusal position. The full case was completed in just 16 months, resulting in a well-aligned, functional, and esthetically pleasing smile — expertly treated at Moral Dental Clinic.

Before
After

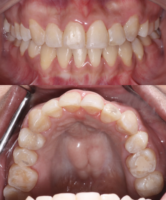
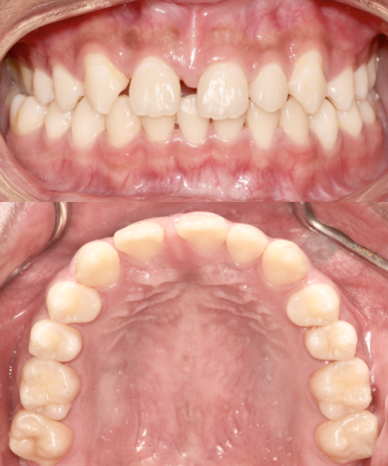
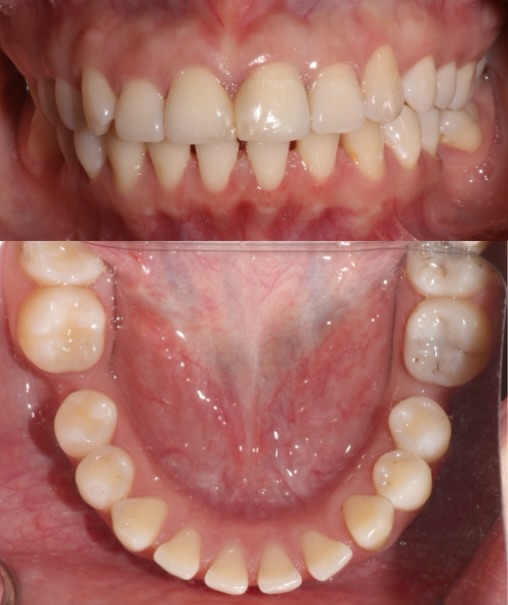
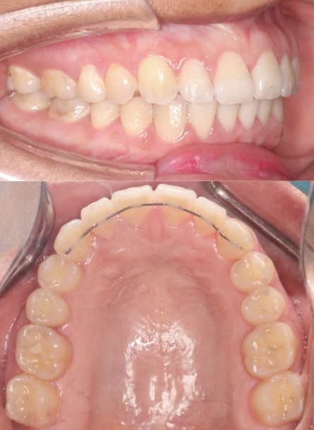
BRACES - SPACE CLOSING

This patient presented with generalized spacing and misaligned teeth. Through comprehensive orthodontic treatment using braces, we successfully closed all spaces and aligned the teeth into an ideal arch form. A fixed lower retainer was placed to maintain long-term stability. The result is a healthier, more confident smile with improved function and aesthetics.

Before
After

Braces - Molar closing

Orthodontic treatment for a patient with a narrow maxilla and missing lower first molars bilaterally. Treatment included arch expansion, molar protraction for space closure, and full arch alignment to restore function and aesthetics. Case completed by the Moral Dental Team.

Before
After

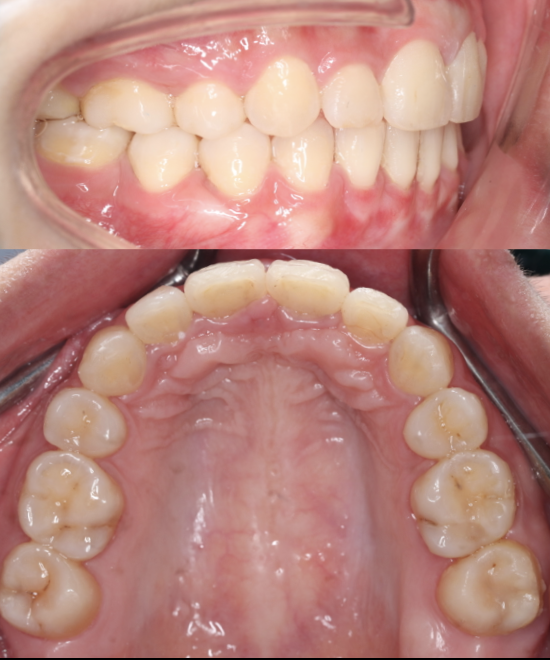
Braces- Molar Closing

Orthodontic treatment was performed to align crowded teeth and close lower molar spaces bilaterally. On the left side, space was closed by mesializing the wisdom tooth and distalizing the second molar. On the right side, protraction of the second and third molars was done to close the edentulous space. Treatment completed by the orthodontic team at Moral Dental Clinic.

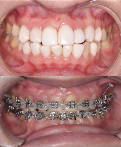
Before
After

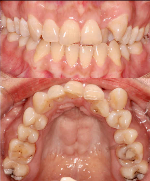
BRACES - SEVERE CROWDING

This patient had severe dental crowding with overlapping and rotated teeth that affected both smile aesthetics and bite function. Through comprehensive orthodontic treatment with braces performed by the Moral Dental Clinic team, the teeth were carefully aligned, arch form restored, and bite improved. The final result shows a beautiful, balanced smile with better oral function, easier cleaning, and long-term stability

Before
After

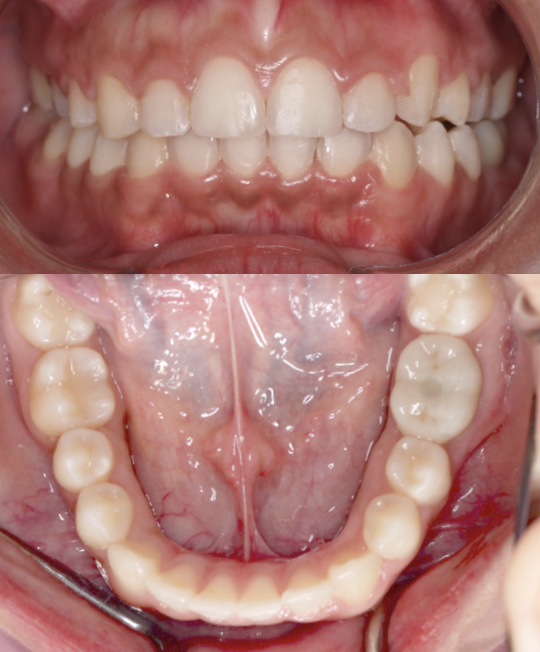
BRACES- SEVERE CROWDING

The patient presented with severe upper anterior crowding, rotated teeth, and a constricted arch affecting bite balance and smile aesthetics. The Moral Dental Clinic orthodontic team provided comprehensive  BRACES treatment to align the teeth, correct rotations, and expand the arch for proper occlusion. As a result, the patient achieved a well-aligned upper arch, improved bite, and a cleaner, more harmonious smile.

Before
After

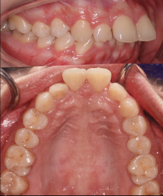
BRACE- Proclined Incisors

This case presented with proclination of the upper incisors and lip incompetence. Comprehensive orthodontic treatment was performed to correct incisor position, improve occlusion, and achieve better facial balance and lip competence.Treatment completed by the Moral Dental Team.

Before
After

BRACES -Molar Space Closure

This case presented with severe dental crowding and compromised arch space. Orthodontic treatment was performed to align the dentition and close molar spaces, followed by implant placement on the left side to restore the missing tooth and achieve optimal occlusion, function, and arch harmony. Treatment completed by the Moral Dental Team.

Before
After

BRACES- Midline Diastema Closure

This case presented with a midline diastema and a missing upper right lateral incisor. Orthodontic treatment was performed to close the midline space and optimize tooth positioning, followed by implant restoration to replace the missing lateral incisor, achieving functional stability and improved smile aesthetics.Treatment completed by the Moral Dental Team.

Before
After

FULL MOUTH REHABILITATION

This case showcases a complete smile transformation for a patient with severe bruxism (teeth grinding). Through expert planning, full zirconia crowns were used to rebuild worn teeth, while dental implants were placed in the lower back for long-term strength and stability. The Work done at Moral Dental Clinic, the result is a durable, natural-looking smile—restored in both form and function.

Before
After

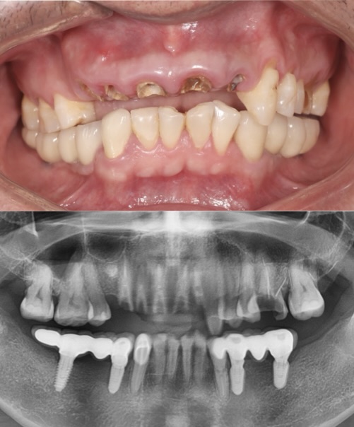
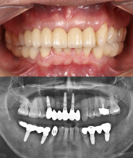
Full Mouth Rehabilitation

This full mouth rehabilitation involved a comprehensive approach: veneers were placed on vital anterior teeth for aesthetic enhancement, zirconia crowns on non-vital teeth for durability, and dental implants were used to replace missing posterior teeth on both lower sides. The treatment successfully restored function, esthetics, and long-term stability—planned and executed by the multidisciplinary team at Moral Dental Clinic.

Before
After

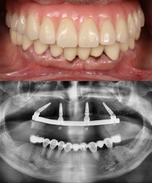
Full Mouth Rehabilitation

A severe bruxism case restored with a combination of two strategically placed dental implants and full monolithic zirconia crowns to rebuild strength, function, and aesthetics. This comprehensive rehabilitation was successfully completed at Moral Dental Clinic, delivering a stable bite, improved smile harmony, and long-term durability.

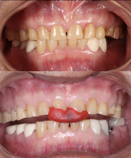
Before
After

Smile Makeover

This case involved an occlusal issue with Class III incisor malocclusion. The patient was treated with a comprehensive smile makeover, including crowns on #11 and #21, e-max veneers on adjacent teeth, and Beyond Plasma Whitening on the lower arch. The result is a beautifully balanced, brighter smile — both functional and aesthetic, proudly completed at Moral Dental Clinic.

Before
After

FULL MOUTH REHABILITATION

At Moral Dental Clinic, we believe every smile deserves a second chance. This full mouth rehabilitation case showcases our signature multidisciplinary approach. We performed precise crown lengthening to correct the upper arch canting, placed dental implants to restore posterior function, enhanced the anterior teeth with custom-designed veneers, and rebuilt compromised teeth with high-strength zirconia crowns following root canal treatment. The result? A confident, radiant smile—engineered for beauty, balance, and long-term health.

Before
After

Smile Reconstruction

Smile reconstruction by replacing old PFM crowns with zirconia crowns on anterior teeth, combined with gingival margin recontouring for better esthetics. Implants were placed for missing posterior teeth to restore full function and harmony. Treatment done by the team at Moral Dental Clinic.

Before
After

Full Mouth Reconstruction

This full mouth reconstruction was successfully performed by the Moral Dental Clinic team, addressing functional, esthetic, and gingival asymmetries. The treatment corrected zenith canting, restored proper occlusion, and enhanced smile harmony using high-strength zirconia crowns for durability and E-max veneers for a natural, lifelike appearance.

The final result shows balanced gingival levels, improved tooth proportions, stable bite function, and a confident, healthy smile.

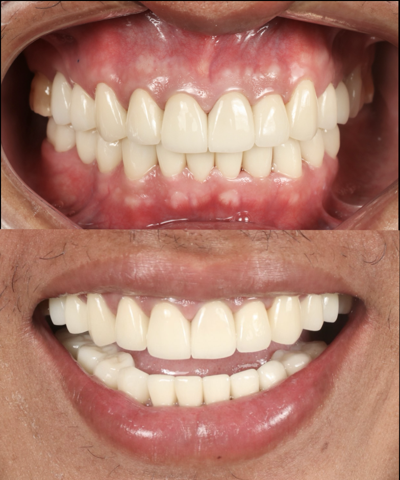
Before
After

Smile Makeover

At Moral Dental Clinic, every smile tells a story — and this one is a beautiful transformation. Using e-max veneers from tooth #13 to #23, we restored not just aesthetics, but the patient’s confidence. From discoloration and wear to a bright, harmonious smile, our team combined precision and artistry to create a natural-looking result that feels as good as it looks.

Before
After

Smile Makeover

From damaged and gingival inflamed to healthy and radiant—this smile makeover, crafted with zirconia crowns and veneers, showcases the artistry and precision work at Moral Dental Clinic. A confident new smile in every detail.

Before
After

Smile Transformation

This case involved correction of a poorly executed direct veneer restoration. Treatment was carefully planned using a multidisciplinary approach, including orthodontic alignment, gingival contouring, and final smile rehabilitation with minimally invasive E-max veneers. The result achieved improved harmony, function, and a natural, aesthetic smile.

Before
After

Full-Mouth Rehabilitation

We restored this smile using an All-on-6 implant solution for upper arches. While the natural lower teeth were still restorable on the lower arch, so we enhanced them with individual metal-ceramic crowns — achieving both function and aesthetics in one complete treatment.

Before
After

ALL-ON-4

This patient transitioned from a removable denture to a fixed full-arch prosthesis using the All-on-4 technique. With strategically placed implants and immediate loading, a new confident smile was delivered within a single day. Work done by our expert team at Moral Dental Clinic

Before
After

All-on-6 in Atrophic Bone

This case involved a patient with severe periodontitis and advanced bone atrophy. Full upper arch rehabilitation was performed using the All-on-6 technique with 2 straight and 4 tilted implants to avoid the maxillary sinus. Immediate loading was done, and the final prosthesis was delivered after 6 months. Treatment successfully restored function and esthetics at Moral Dental Clinic.

Before
After

All-on-6 implant

This All-on-6 implant case was performed on a patient with severe periodontitis. Implants were placed with immediate loading, allowing the patient to receive a temporary prosthesis right after surgery. The final fixed prosthesis was delivered 4 months later, restoring full function and esthetics. Treatment completed at Moral Dental Clinic.

Before
After

IMMDEDIETE IMPLANT -MULTIPLE

This patient presented with severely damaged anterior teeth. Treatment involved immediate implant placement paired with bone grafting to restore lost support and preserve the soft tissue profile.
The case was completed with a final fixed prosthesis, offering a beautiful, functional, and long-lasting result. Expertly restored at Moral Dental Clinic.

Before
After

Immediate implant plus CTG

Immediate implant placement with simultaneous connective tissue graft and socket grafting in the esthetic zone. Implant was immediately loaded, achieving both soft tissue contour and esthetic integration. The case was successfully completed in 4 months at Moral Dental Clinic.

Before
After

SINGLE IMMEDIATE IMPLANT—ANTERIOR

This case highlights a simultaneous immediate implant placement with sub-epithelial connective tissue graft (SCTG) and bone grafting, followed by immediate provisionalization. The final crown was delivered with ideal soft tissue contour, color harmony, and long-term stability—resulting in a seamless, natural-looking smile. A testament to advanced implant planning and execution at Moral Dental Clinic.

Before
After

SINGLE IMMEDIATE IMPLANT—POSTERIOR

This patient underwent immediate implant placement to restore both function and aesthetics. Performed by Dr. Phearum at Moral Dental Clinic, the procedure replaced a compromised tooth with a natural-looking zirconia restoration, ensuring a confident, healthy smile without delay.

Before
After

DELAYED IMPLANT - SINGLE

This complex case involved the early implant placement in tooth #21, enhanced with guided bone regeneration to rebuild the buccal architecture for ideal aesthetics and long-term success. To complete the transformation, zirconia crowns were placed on the adjacent two teeth, delivering a perfectly balanced, natural-looking result. Meticulously planned and executed, this case reflects the precision and artistry at Moral Dental Clinic.